New smiles

Before and After

Orthodontic treatment can improve the appearance of your teeth and smile, how your teeth function, your self-confidence, and how you interact with other people. A smile is one of the first things people notice about you. We believe everyone deserves to have a smile they’re excited to share with the world. 

Dr. Morgenstern provides orthodontic treatment to children, teens and adults with braces, clear braces and Invisalign. Each patient is unique and our care is tailored to your individual needs. Here are just a few of the patients that have been treated at our Chapel Hill, NC office.

BEFORE & AFTER PHOTO GALLERY

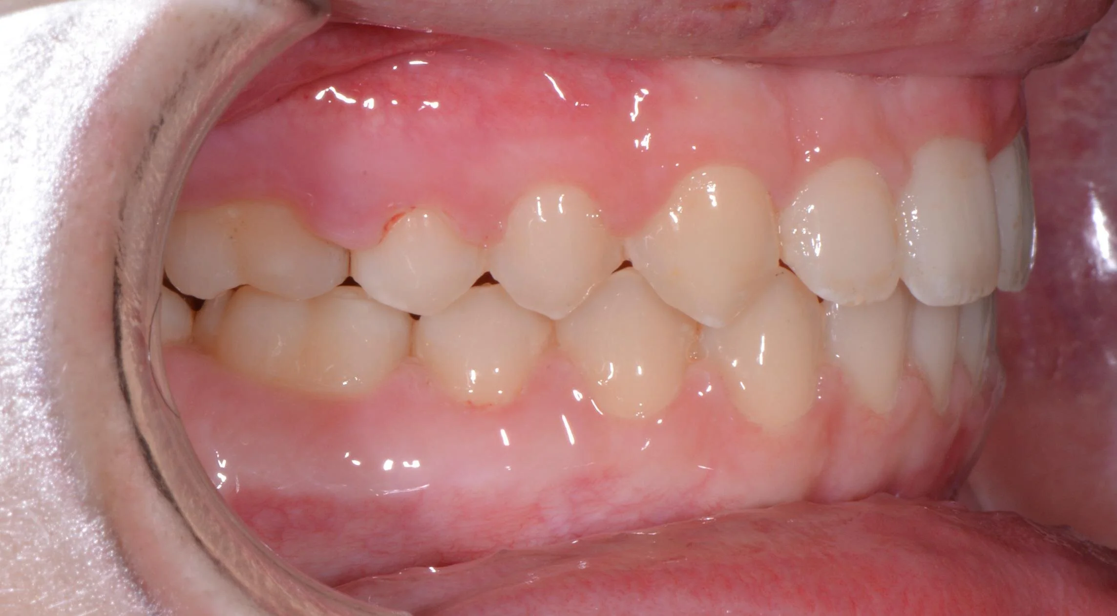
Case 1

Orthodontic problems corrected: 

  • Upper and lower spaces between teeth

  • Underbite where the lower teeth are in front of the upper teeth

  • Flared upper and lower teeth

Before

Before

After

After

Before

Before

After

After

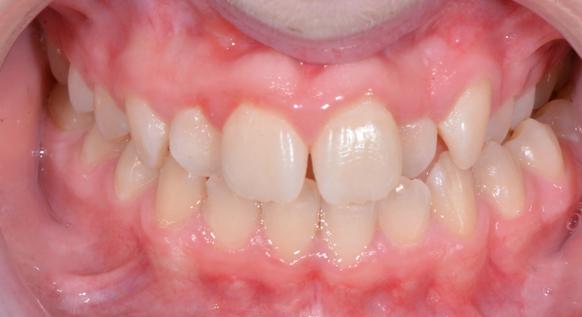
Case 2

Orthodontic problems corrected:

  • Open bite of front teeth so they do not overlap when biting

  • Excess overbite with upper teeth too far in front of lower teeth

  • Lower tooth crowding

  • Narrow upper jaw

Before

Before

After

After

Before

Before

After

After

Case 3

Orthodontic problems corrected:

  • Excess overbite with upper teeth too far in front of lower teeth

  • Deep bite with the top teeth covering most of the bottom teeth and the bottom teeth are impinging on the roof of the mouth

  • Upper and lower spaces between teeth

  • This patient opted to keep a small space between the front teeth since it was something that was a part of them! We love being able to customize our smile designs.

Before

Before

After

After

Before

Before

After

After

Case 4

Orthodontic problems corrected:

  • Upper and lower crowding

  • Crossbite of front and back teeth on the patient’s left where top teeth are on the inside of the bottom teeth

Before

Before

After

After

Before

Before

After

After

Case 5

Orthodontic problems corrected:

  • Severe upper and lower tooth crowding

  • Flared upper and lower teeth

  • Excess overbite with upper teeth too far in front of the lower teeth

Before

Before

After

After

Before

Before

After

After

Case 6

Orthodontic problems corrected:

  • Asymmetric lower jaw with lower midline to the patient’s left

  • Open bite of front teeth, especially on the patient’s left

  • Upper and lower crowding

Before

Before

After

After

Before

Before

After

After

Case 7

Orthodontic problems corrected:

  • Deep bite with the top teeth covering most of the bottom teeth

  • Upper and lower tooth crowding

  • Small upper teeth. We coordinated care with a general dentist to add white filling material to enhance the shape of two upper teeth

  • Angulation of front teeth was improved from leaning back to straight up and down. This is usually more esthetic.

Before

Before

After

After

Before

Before

After

After

We create beautiful, healthy smiles with braces and Invisalign!

All of these before and after photos come from real patients that your Chapel Hill orthodontist has treated. If you are interested in achieving results like this for yourself, your kids, or anyone else in your family, we'd be thrilled to help you! The first step is a free consultation with Dr. Morgenstern to review your options for orthodontic treatment.

Schedule a Free Consultation